In this post, we explore a groundbreaking study that significantly influenced the treatment approach for patients with temporal lobe epilepsy. The landmark article, “A Randomized, Controlled Trial of Surgery for Temporal-Lobe Epilepsy,” published in The New England Journal of Medicine in 2001, demonstrated the efficacy of surgical intervention compared to medical therapy for individuals with intractable temporal lobe epilepsy.
The study, led by Dr. Samuel Wiebe and colleagues, aimed to compare the outcomes of surgical treatment and continued pharmacotherapy in patients with medically refractory temporal lobe epilepsy. A total of 80 patients were enrolled in the study, with 40 assigned to the surgical group and 40 to the medical therapy group. The inclusion criteria comprised a history of disabling seizures for at least two years, failure of at least two antiepileptic drugs, and a comprehensive evaluation indicating temporal lobe epilepsy amenable to surgical resection.
 The primary outcome measure was the freedom from seizures that impair awareness or responsiveness at one year after randomization. A secondary outcome measure was quality of life, as assessed by the Quality of Life in Epilepsy Inventory 89 (QOLIE-89).
The results of the study were striking. At the one-year mark, 58% of the patients in the surgical group were free from seizures that impair awareness or responsiveness, compared to only 8% in the medical therapy group (p<0.001). Furthermore, the surgical group exhibited a significant improvement in the QOLIE-89 overall score, with a mean increase of 17.1 points compared to a mean increase of 7.6 points in the medical therapy group (p<0.001).
This landmark study provided robust evidence supporting the use of surgical intervention for patients with medically intractable temporal lobe epilepsy. It not only demonstrated the superior efficacy of surgery in achieving seizure freedom but also highlighted the improvements in patients’ quality of life. This research has since paved the way for further advancements in epilepsy surgery and has shaped the standard of care for patients with drug-resistant temporal lobe epilepsy.
Feel free to review the landmark article here!
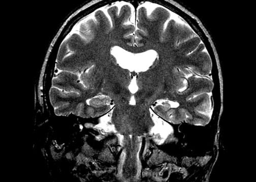
Check out some radiographic images of mesial temporal sclerosis from our image database:
Reference:
- Wiebe, S., Blume, W. T., Girvin, J. P., & Eliasziw, M. (2001). A randomized, controlled trial of surgery for temporal-lobe epilepsy. The New England journal of medicine, 345(5), 311-318. doi:10.1056/NEJM200108023450501



