Muscle pathology and diseases are a high-yield topic for neurology examinations as many of these disorders have characteristic or pathognomonic findings that allow for easy test question writing! For this topic, pathology slide interpretation will be a great skill to have! Luckily this chapter has dozens of high-quality images with which to practice.
Author: Brian Hanrahan MD
Acquired Myopathies
Idiopathic inflammatory myopathies
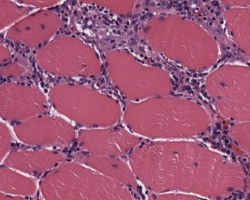
Polymyositis
- A female-predominant disease seen in one’s adult years that presents with subacute symmetric proximal weakness and pain.
- Can be associated with rheumatoid arthritis, HIV, or underlying malignancy.
- Muscle biopsy shows endomysial and perivascular monocytic inflammation and necrosis with regeneration.
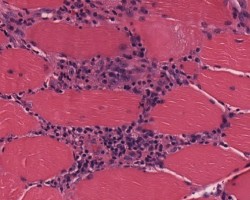
Dermatomyositis
- A female-predominant disease which presents with subacute proximal weakness and pain.
- Dermatologic manifestations include a heliotrope rash on eyelids and an erythematous rash of the face or neck.
- Can be associated with connective tissue disease, malignancy, and interstitial lung disease.
- Muscle biopsy shows perifascicular inflammation and atrophy with sparing of the central fascicle.
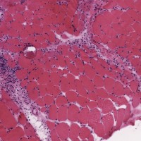
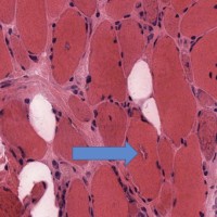
Inclusion body myositis (IBM)
A male-predominant slowly progressive idiopathic inflammatory condition of patients over the age of 50.
Clinical features include asymmetric weakness of the finger flexors and the quadriceps muscles.
Treatment
- Polymyositis and dermatomyositis are responsive to immunosuppressive therapies (steroids, methotrexate, azathioprine, mycophenolate, etc.) while IBM is not.
Log in to View the Remaining 60-90% of Page Content!
Important: If you signed up after 1/1/2026, or if you opted to migrate your old account to the new & improved platform (same great content, better experience), please log in at nowyouknowmed.com
New here? Get started!
(Or, click here to learn about our institution/group pricing)1 Month Plan
Full Access Subscription-
Access to full question bank
-
Access to all flashcards
-
Access to all chapters & site content
3 Month Plan
Full Access Subscription-
Access to full question bank
-
Access to all flashcards
-
Access to all chapters & site content
1 Year Plan
Full Access Subscription-
Access to full question bank
-
Access to all flashcards
-
Access to all chapters & site content







