Dementia and neurodegeneration are high-yield topics for the RITE®, board, and shelf examinations. In particular, understanding the different tauopathies, like Alzheimer’s disease, and alpha-synucleinopathies, like Lewy body dementia, will get you very far on these exams. In this chapter, you will find the high-yield topics you need to learn, including classic pathology slides and radiographic images you may see on exam day. Learn this knowledge well, then test what you have learned with a practice quiz at the end!
Authors: Daniel Varon MD, Brian Hanrahan MD
Types of Memory
Procedural memory
- Associated with implicit memory of how to perform certain tasks such as tying shoes or riding a bike.
- Damage to the basal ganglia and cerebellum can lead to procedural memory problems.
Episodic memory
- Memory that is specific to autobiographical events (i.e. times, names, and places).
- Deficits localize to the Papez circuit (hippocampus, fornix, mammillary bodies, anterior thalamus, cingulate, entorhinal cortex)
- Deficits in episodic memory are typical of Alzheimer’s disease (AD).
Working memory
- Also considered “short term memory”, it is the cognitive system responsible for storing temporary pieces of information.
Semantic memory
- Semantic memories do not tend to come from personal experience.
- Deficits of semantic memory lead to the loss of “common knowledge” things such as names of colors, and other basic life facts.
Types of Neurocognitive Testing
- Stroop test: Subjects are presented with names of colors written in colors other than the one spelled out (i.e. the word “red” written in green ink) and are then asked to repeat the color of the word back to the examiner. This is a test used specifically to evaluate executive function, most specifically attention.
- Digit span test: Subjects are read or asked to read a sequence of numbers and then recall them in the same order. This test is used to analyze working memory.
- Wisconsin Card Sorting Test: Assesses visual conceptualization, problem solving, and abstract reasoning which may be deficient in prefrontal cortex lesions.
- California Verbal Learning Test: In this test of episodic memory, subjects are read a list of 16 nouns out loud five times and after each trial, the subject is asked to recall as many as they can in order.
- The Trail Making Test: Used to evaluate executive functioning, speed of processing, and mental flexibility.
- The Wechsler Adult Memory Scale (WAIS-IV): A comprehensive cognitive test that evaluates a subject’s verbal comprehension, perceptual reasoning, working memory, and processing speed.
- The Boston Naming Test: Examiners go through several images individually and ask the subject to identify the word. Those with aphasia or other language disturbances will struggle with this test as it evaluates confrontational word retrieval.
- Clock-Drawing Test: Evaluates visuospatial function, attention, and executive function.
- Go/no-go Test: Patients are instructed to tap once in response to a single tap by the examiner and to withhold a response for two taps. Assesses for disinhibition and frontal lobe dysfunction.
Mild Cognitive Impairment (MCI)
- Felt to be a precursor to Alzheimer’s disease among other neurodegenerative diseases (FTD, LBD, etc.).
- Progresses to dementia at a rate of 10-15% per year.
- Diagnosed based on clinical concern by the patient or others of decreased cognition, with objective evidence of impairment in one or more cognitive domains, typically including memory, on testing, but without limiting independence, ADLs, or daily functioning.
- Imaging can show early mesial temporal/hippocampal volume loss on MRI.
Tauopathies
Tau protein
- Function: Assists in microtubule function as a microtubular associated protein.
- Genetics: encoded by microtubule-associated protein tau (MAPT) gene
- Pathology: Cell death leads to leakage of cellular contents leading to elevated levels of tau and formation of neurofibrillary tangles which are immunoreactive for phosphorylated tau.

Alzheimer’s disease (AD)
- Presents with impairment of memory and at least one other area of cognition.
- Early symptoms include forgetfulness for recent events or newly acquired information, disorientation, and difficulty with complex cognitive functions.
- The degree of memory loss usually correlates with the severity of the loss of cholinergic neurons in the nucleus basalis of Meynert, which has cholinergic projections to the cerebral cortex.
Genetics
- Amyloid precursor protein (APP):
- Located on chromosome 21.
- People with Down syndrome (trisomy 21) have a higher risk of Alzheimer’s disease due to the overproduction of APP.
- Amyloid precursor protein (APP):
- Apolipoprotein E (APOE) gene:
- Susceptibility gene found on chromosome 19.
- Associated with late-onset Alzheimer disease (AD)
- Works by assisting the metabolism and transport of β-amyloid.
- APOE 4 allele increases risk by 5-15 fold.
- APOE 2 allele decreases the risk of AD.
Biomarkers
- Used to help predict conversion from MCI to AD.
- CSF studies: Can be more sensitive than cognitive testing to predict conversion to AD from MCI.
- Elevated total and phosphorylated tau levels due to dying and damaged neurons
- Decreased beta-amyloid 1-42 due to an accumulation of amyloid in plaques.
Pathology
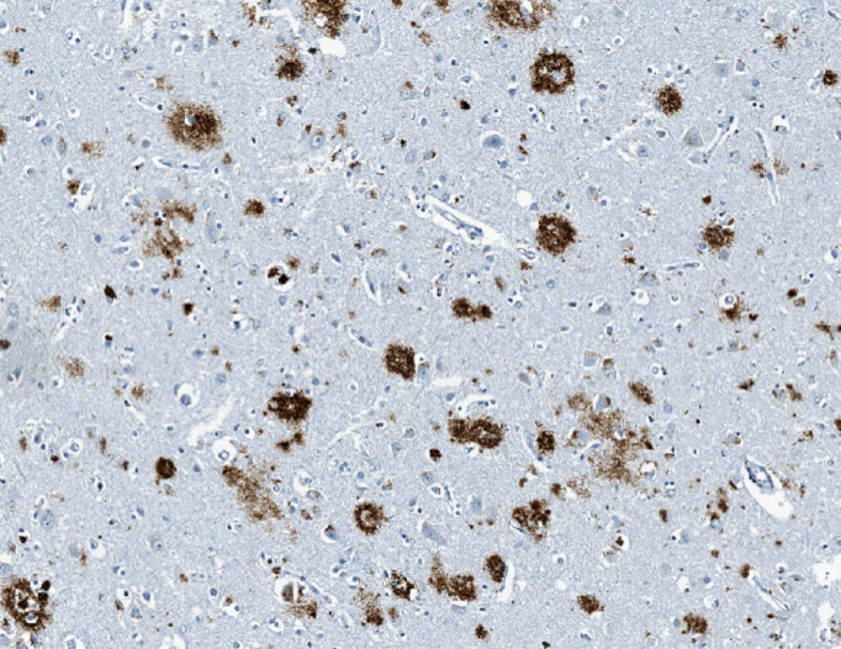
- Microscopic analysis will show extracellular amyloid neuritic plaques and dystrophic neurites with reactive astrocytes and microglia.
- Intracellular neurofibrillary tangles, Hirano bodies, neuronal granulovacuolar degeneration, and the deposition of amyloid in the walls of blood vessels can also be seen.
- Neurofibrillary tangles: Flame-shaped intracellular inclusion bodies of phosphorylated tau protein.
- Hirano bodies: Intracellular aggregates of actin and actin-associated proteins, which are not specific to Alzheimer’s disease.
- Granulovacuolar degeneration: Intraneuronal accumulation of large (up to 5 µm diameter) double membrane-bound vacuoles harboring a central granule.

Imaging
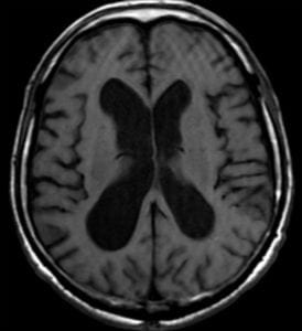
- CT/MRI
- Widening of the cortical sulci and enlargement of the lateral ventricles
- Microhemorrhages secondary to amyloid angiopathy can also occur in cortical and subcortical locations.
- Hippocampal and high parietal atrophy

Log in to View the Remaining 60-90% of Page Content!
Important: If you signed up after 1/1/2026, or if you opted to migrate your old account to the new & improved platform (same great content, better experience), please log in at nowyouknowmed.com







